+49 (0)611/988 78 77    info@woehrl-dental.de

  • Wöhrl Dental Zahntechnik made in Germany
    Zahntechnik made in Germany

    Meisterlich.
    individuell. handwerklich. modern und digital.

    Wöhrl Dental, Studio für ZahnÄsthetik, Meisterlabor in Wiesbaden.

  • Zahntechnik made in Germany

    Zahntechnik ist Handwerk.

    Wöhrl Dental, Studio für ZahnÄsthetik, Meisterlabor in Wiesbaden.

  • Zahntechnik made in Germany

    Zahntechnik Digital mit CAD CAM

    Wöhrl Dental, Studio für ZahnÄsthetik, Meisterlabor in Wiesbaden.

  • Wöhrl Dental Zahntechnik made in Germany

Willkommen bei Wöhrl-Dental

So individuell wie Ihr Fingerabdruck sind Ihre Zähne. Zahntechnik ist Handarbeit, jeder Zahn ein Unikat. Die Synergie aus handwerklicher Arbeit und technischem Fortschritt sind unser täglich Brot.
Wir sind verlässlicher Partner im Umgang mit unseren Kunden Zahnärzte/innen und bieten ihnen und ihren Patienten eine sichere Umsetzung der individuellen Wünsche.

Denn: Ein schönes Lächeln verzaubert!

Zahntechnik "made in Germany"

Zu unserem Dienstleistungsportfolio gehören alle Disziplinen der Zahntechnik, im Besonderen Vollkeramik, kombiniert -herausnehmbarer Zahnersatz und Implantattechnik.

Als Meisterlabor sind wir täglich im Einsatz für das Behandlungsteam Zahnarzt - Patient - Labor und agieren flexibel und individuell.

Kontakt: Tel: 0611/988 78 77

Unsere Leistungen

  • Funktionsorientierter Zahnersatz
    Funktionsorientierter Zahnersatz
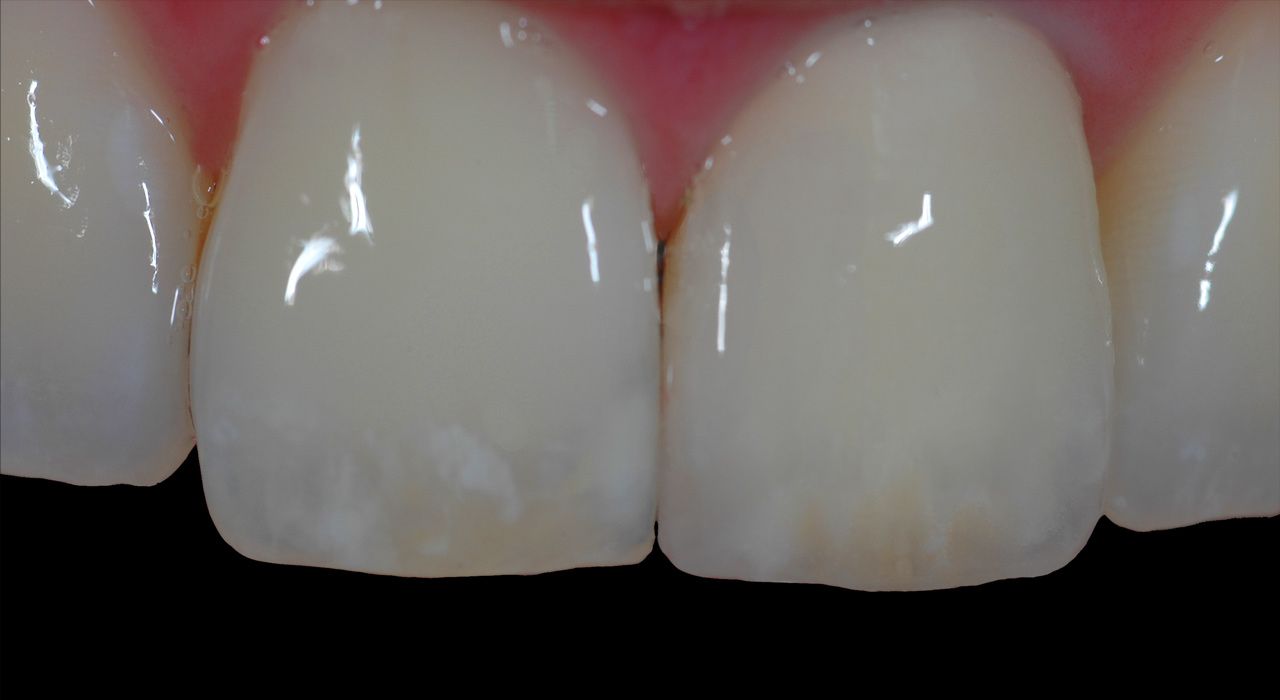
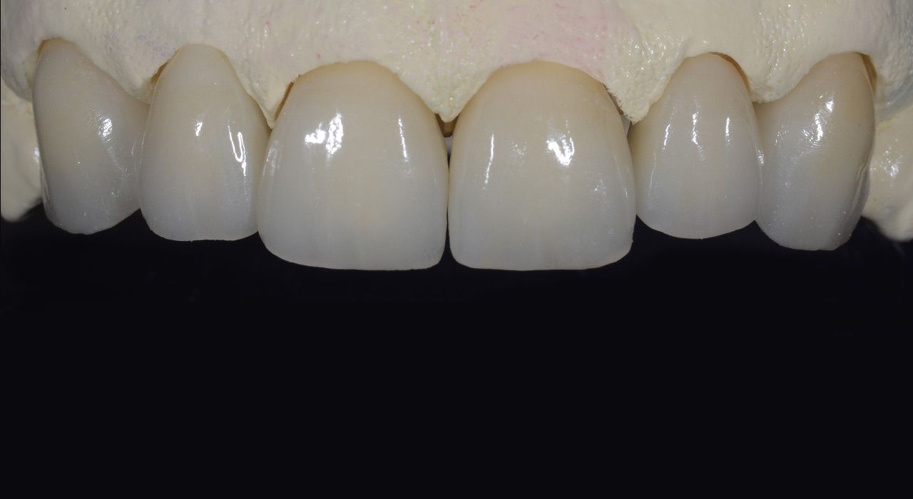
  • individuelle Farbanpassung
    individuelle Farbanpassung
  • CAD/CAM
    CAD/CAM
  • Implantate
    Implantate
  • Aufbissschienen
    Aufbissschienen
  • Herausnehmbare Brücken
    Herausnehmbare Brücken
  • Vollkeramik - Presskeramik
    Vollkeramik - Presskeramik
  • Vollkeramik - Zirkondioxyd
    Vollkeramik - Zirkondioxyd
  • VMK - Metallkeramik
    VMK - Metallkeramik
  • Kombinationsarbeiten
    Kombinationsarbeiten
  • Einstückgussverfahren
    Einstückgussverfahren

    Kooperation

    ... "ist das zweckgerichtete Handeln um ein gemeinsames Ziel zu erreichen".

    Einen solchen partnerschaftlichen Umgang schätzen unsere Zahnärzte und damit unser Patienten - das neue und unbeschwerte Lächeln belohnt.

    Neuigkeiten

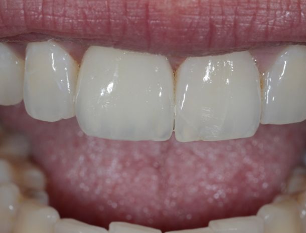
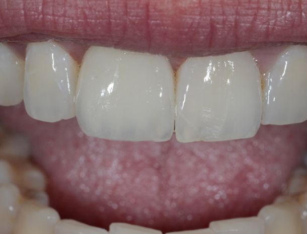
    Individuelle Farbanpassung am Patienten

    Individuelle Farbanpassung

    Da hat man gut Lachen - die individuelle Farbanpassung für Patienten.

    Moderner Scanner

    Ein Scanner der modernsten Softwaregeneration von EXOCAD. Damit lassen sich nahezu alle gänigen Gebiete der Zahntechnik "abbilden".

    Verpackung & Gesetz

    Wöhrl Dental erfüllt das neue Verpackungsgesetz.